Dr. Bolarinwa Akinola

Care you can trust,
Every step of the way

Dr. Bolarinwa Akinola

FRCS (Tr. & Orth.), MPH, MBBS

Consultant Orthopaedic Surgeon

UK Specialist Training · International Fellowships · Consultant-Led Care

If you are seeking treatment locally or planning care while visiting Nigeria, clear guidance matters.

I provide consultant-led assessment and treatment, combining UK specialist training and international fellowship experience with ongoing practice in Nigerian hospitals — helping you make informed decisions and recover safely.

Specialty Offerings

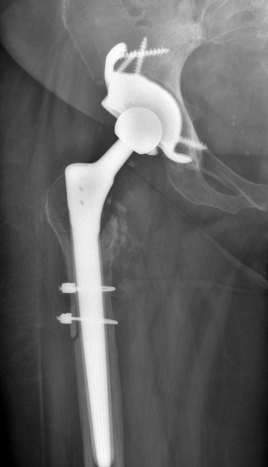
Joint Replacement

Joint Replacement

Revision Joint Replacement

Revision Joint Replacement

Spines

Spines

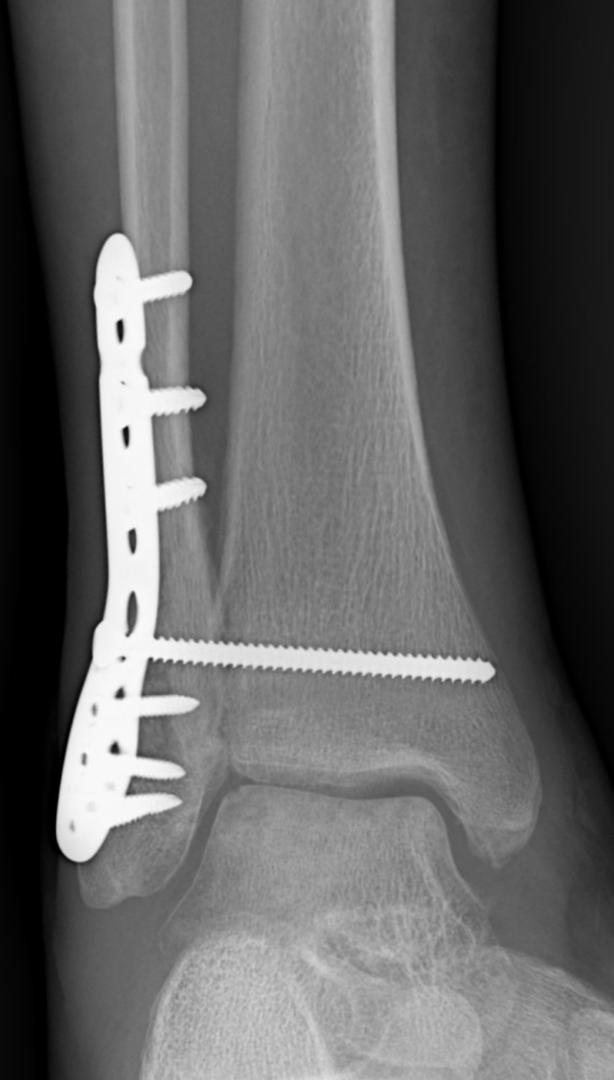
General & Complex Trauma

General & Complex Trauma

Bone & Joint Infection

Bone & Joint Infection

Deformity Correction

Deformity Correction

General Orthopaedics

General Orthopaedics

Swipe to explore

Patients in Nigeria

ENTER

International Patients

ENTER